KYIV, Ukraine (AP) — Russian missiles, bombs and drones battered three regions of Ukraine in targeted nighttime attacks, officials said Friday, as Russia mounts an intensified aerial campaign that Ukrainian officials say they need more Western help to counter — even as doubts deepen...
PAIPORTA, Spain (AP) — The mangled car in which Jorge Tarazona’s 3-year-old niece and sister-in-law perished in last week's catastrophic flooding in Spain now hangs halfway off the ragged edge of road. Jorge Tarazona stands next to a car in Paiporta, Valencia, Spain, Wednesday, Nov. 5, 2024,...
WASHINGTON (AP) — Special counsel Jack Smith is evaluating how to wind down the two federal cases against Donald Trump before the president-elect takes office in light of longstanding Justice Department policy that says sitting presidents cannot be prosecuted, a person familiar with the matter...
SAN DIEGO (AP) — “Build the Wall” was Donald Trump's rally cry in 2016, and he acted on his promise by tapping military budgets for hundreds of miles of border wall with Mexico. “Mass Deportation” was the buzzword that energized supporters for his White House bid in 2024. FILE -...
TEL AVIV, Israel (AP) — Donald Trump will return to the U.S. presidency at a time of unprecedented conflict and uncertainty in the Middle East. He has vowed to fix it. FILE – President Donald Trump and Israeli Prime Minister Benjamin Netanyahu shake hands at the Israel museum in Jerusalem,...
HAVANA (AP) — Hurricane Rafael pushed into the Gulf of Mexico on Wednesday night after plowing across western Cuba as a Category 3 hurricane with winds so powerful it knocked out the entire country's power grid. Waves break on the beach during the passing of Hurricane Rafael in Havana, Cuba,...
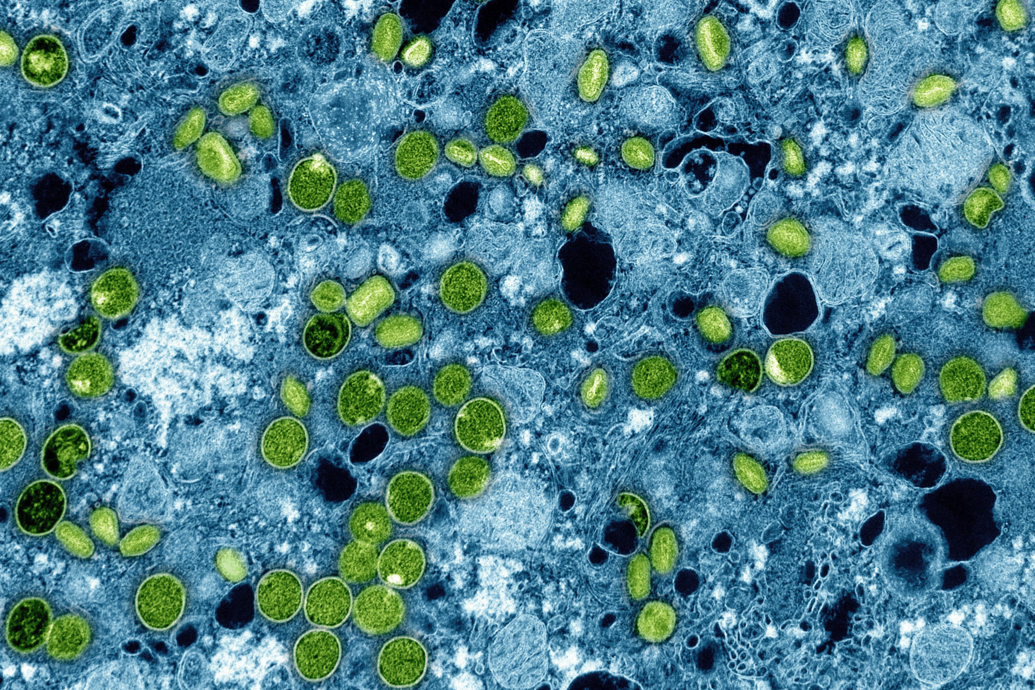
LONDON (AP) — British health officials say they have identified four cases of the new, more infectious version of mpox that first emerged in Congo, marking the first time the variant has caused a cluster of illness outside of Africa. Scientists said the risk to the public remains low. FILE - This...
WEST PALM BEACH, Fla. (AP) — Donald Trump spent his first day as president-elect receiving congratulatory phone calls from his defeated opponent, world leaders and President Joe Biden as he began the process of turning his election victory into a government. Republican presidential nominee former...
WASHINGTON (AP) — Faced with a sweeping rejection by American voters, Kamala Harris conceded the presidential election to Donald Trump on Wednesday and encouraged supporters to continue fighting for their vision of the country. The Democratic vice president said the battle would continue “in...
WASHINGTON (AP) — Donald Trump was elected the 47th president of the United States on Wednesday, an extraordinary comeback for a former president who refused to accept defeat four years ago, sparked a violent insurrection at the U.S. Capitol, was convicted of felony charges and survived two...
WASHINGTON (AP) — A series of bomb threats across multiple battleground states and baseless claims of wrongdoing by former President Donald Trump disrupted an otherwise smooth Election Day that capped a tumultuous presidential campaign . Voters wait in line to cast their ballots outside a polling...
A costly campaign to legalize recreational marijuana in Florida failed Tuesday and California voters took a step toward tough crime laws as voters in dozens of states weighed more than 140 measures appearing on the ballot alongside races for president and top state offices. Delores Engel looks over...